審美歯科

審美歯科について

審美歯科について

セラミック治療に求められるのは、「見た目」はもちろん、生活に支障のない「機能性」です。当院では、精密な診断、検査を行った上で、制度の高い治療を心がけております。
その一環となるのが、拡大鏡を用いた診療。より細かな問題も見逃さないよう、取り組んで参ります。 美しい口元で自然で明るい笑顔になれるような歯を目指して、患者様とよく相談した上で治療を行なって参ります。

詰め物、被せものについて

ジルコニアセラミック

素材:ジルコニア+セラミック

メリット

  • 土台となるジルコニア部分も白いため、透明感のある仕上がりを実現できる
  • 強度が高い
  • 歯肉が黒ずむことがない

デメリット

  • 素材が固いので、咬み合う歯を傷つけることがある
  • 保険適応外のため治療費が高くなる

オールセラミック

素材:セラミック

メリット

  • 天然歯にかぎりなく近い色なので目立たない
  • 金属アレルギーの心配がない
  • 生体親和性に優れている
  • 変色がない
  • プラークが付着しにくく虫歯になりにくい

デメリット

  • 素材が固いので、咬み合う歯を傷つけることがある
  • 保険適応外のため治療費が高くなる

フルジルコニア

素材:ジルコニア

メリット

  • 天然ダイヤモンドに次いで硬く、破損することなく使用できる
  • 変色することがない
  • 歯肉が黒ずむことがない
  • 表面にプラークが蓄積しにくいため、再度虫歯になるリスクが少なくなる

デメリット

  • 素材が固いので、咬み合う歯を傷つけることがある
  • 保険適応外のため治療費が高くなる
  • 周りの歯と色が合いきらないことがある

ハイブリットセラミックス

素材:レジンとセラミックの中間材料

メリット

  • 多少の破損であれば一日で修理が可能
  • 柔らかいので割れにくく、かみ合う歯を痛めにくい

デメリット

  • プラスチック素材を含んでいるため、強度や耐久性が劣る
  • 長期的には変色やツヤの低下が起こる
  • 金属で裏打ちしているので、加齢に伴い歯肉がやせてくると、歯の根元部分の金属が露出し黒いラインが、見えてくる場合がある

ジルコニアDIVA

低価格で高品質の
ジルコニアDIVAを取り扱っています

審美歯科について

ジルコニアDIVAの特徴

  • 同じジルコニアで通常よりも安価で提供
  • 3種類の中から、ご自身にあった色味を選択
  • 割れにくくて丈夫
  • 汚れがつきにくい
  • 虫歯になりにくい
  • 安心の5年保証
    ※当院での定期検診を受診して頂いている方のみ
ジルコニアDIVA 被せ物 45,000円
ジルコニアDIVA 詰め物 45,000円

審美歯科の症例

症例①

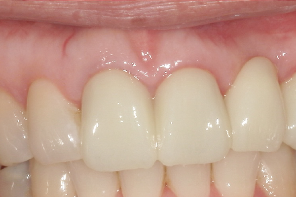
治療前

治療前

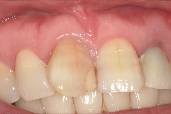
治療後

治療後
担当医師所見 左上2番目の歯は根本が折れて歯茎が腫れている状態でした。
歯の抜歯や土台の歯の修正などをまとめて行い、通院回数や麻酔回数を減らし負担軽減できるよう努めました。
セラミック作製専用の技工士とともに、右上の前歯の形も修正を行い、左右対称の綺麗な歯が入り、ご本人様もここで治療して本当に良かったと喜んで頂けました。
年齢・性別 44歳・男性
主訴 上の前歯が腫れた。根本が折れてしまったかもしれない。前歯の色と形が気になるので治したい。インプラントで治せないかなどを考えたい。
治療内容 ジルコニアセラミックを用いたブリッジ治療
治療費 ¥560,000
治療期間 3ヶ月
リスク・副作用 歯の形の修正の際に、土台の歯の神経の治療が必要になるケースがあります。
治療方針 左上2番目の歯の根本が半分に折れてしまっていたため、保存が難しく抜歯処置となりました。
ご本人様に治療方針をいくつかご説明させて頂いたところ、折れたところ以外の歯の色と形も気になるとのことで、ブリッジによる治療を行いました。
インプラントを用いた治療もご案内はしましたが、左上の2番目の歯以外の審美性が改善されないため、今回はブリッジでの治療を行いました。
担当医 院長
特記事項 残っている歯の状態によってはブリッジができないケースもございます。
  • 電話をかける
  • オンライン予約